Ecoulements à haut nombre de Schmidt
Turbulence homogène isotrope
-
Coupe 2D d'un scalaire à Schmidt 128
-
Spectre scalaire - diff. nb. de Schmidt et Reynolds
-
Spectre scalaire - diff. nb. de Schmidt et Reynolds
-
Dissipation d'un scalaire à haut nb de Schmidt
Jet plan - nombre de Schmidt = 0.25
Jet plan - nombre de Schmidt = 1
Jet plan - nombre de Schmidt = 16
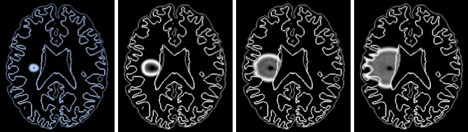
Gliome - reproduction d'une croissance exponentielle
Gliome - reproduction d'une croissance logistique
Gliome - influence des cellules invasives
Gliome - croissance avec angiogenèse